Πρέπει να ξεκινήσει κανείς από το γεγονός ότι οι πιο απλοί οργανισμοί εμφανίστηκαν πολύ καιρό πριν. Θεωρούνται οι γηραιότεροι κάτοικοι του πλανήτη. Κατά τη διάρκεια της ύπαρξής τους, έχουν γίνει απίστευτα ανθεκτικοί σε διάφορες προκλήσεις. Μπορούν να επιβιώσουν ακόμη και στα πιο επικίνδυνα περιβάλλοντα.
Αυτοί οι μικροοργανισμοί έχουν επιλέξει έναν πολύ βολικό τρόπο ύπαρξης για τον εαυτό τους - τον παρασιτισμό, ειδικά στο ανθρώπινο σώμα. Όπως ήδη αναφέρθηκε, αυτοί οι μικροοργανισμοί είναι απίστευτα «επιβλαβείς» και επίμονοι, γι' αυτό μερικές φορές είναι τόσο δύσκολο να απαλλαγούμε από αυτούς.
Υπάρχουν διάφοροι τύποι χώρων όπου «ζουν» παράσιτα. Ο πρώτος τύπος περιλαμβάνει ενδογενείς μικροοργανισμούς, δηλαδή αυτούς που βρίσκονται στο ανθρώπινο σώμα. Ο δεύτερος τύπος περιλαμβάνει εξωγενή παράσιτα που οικειοθελώς «εγκαθίστανται» στο δέρμα και προκαλούν διάφορες δερματικές παθήσεις.
Τύποι πρωτόζωων παρασίτων
Υπάρχουν βασικά τέσσερις τύποι παρασίτων που «ζουν καλά» στο ανθρώπινο σώμα.
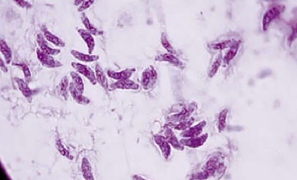
Μαστιγωτές
Αυτά περιλαμβάνουν Giardia και τρυπανοσώματα. Αυτή η κατηγορία είναι αντιπροσωπευτική των παλαιότερων εκπροσώπων των παρασίτων. Έλαβαν αυτό το όνομα λόγω του οργάνου του κινήματός τους: μαστίγια. Το μέγεθος των ίδιων των παρασίτων είναι απλώς μικροσκοπικό, έχουν σταθερό σχήμα και, κατά κανόνα, αναπαράγονται με διαίρεση σε δύο μέρη.

Είναι πολύ επικίνδυνα για τους ανθρώπους και τα ζώα. Εάν μπουν στο σώμα σας, προκαλούν μεγάλη ζημιά. Προκαλούν επίσης διάφορες ασθένειες. Όπως ο αμερικανικός πυρετός ύπνου, η δερματική λεϊσμανίαση και πολλά άλλα. Μπορούν να παρασιτούν στα έντερα, στο αίμα και στο δέρμα. Αυτό έχει αρνητικό αντίκτυπο στην ανθρώπινη υγεία.
Σπορόζωα
Αυτός ο τύπος πρωτόζωων παρασίτων έχει μια πολύ περίπλοκη πορεία ανάπτυξης. Η κατηγορία αυτή είναι γνωστό ότι περιέχει περίπου 1400 είδη. Όλοι οι εκπρόσωποι «επιλέγουν» έναν παρασιτικό τρόπο ζωής και είναι εξαιρετικά επικίνδυνοι για ανθρώπους και ζώα. Η αναπαραγωγή γίνεται μέσω της κυτταρικής διαίρεσης.

Ως «τόπος διαμονής» επιλέγονται συχνότερα ανθρώπινοι ή ζωικοί ιστοί και όργανα. Αυτό το είδος προκαλεί πολλές ασθένειες. Για παράδειγμα, ελονοσία, τοξοπλάσμωση.
Κιλιάτες
Αυτά περιλαμβάνουν Balantidia. Υπάρχουν περίπου 7.000 διαφορετικά είδη. Τα κινητικά όργανα αυτών των παρασίτων είναι οι βλεφαρίδες, από τις οποίες υπάρχουν πολλές.

Ένα ιδιαίτερο χαρακτηριστικό αυτού του τύπου είναι η παρουσία δύο πυρήνων. Έχουν σταθερό σχήμα σώματος και κέλυφος. Η αναπαραγωγή συνήθως συμβαίνει μέσω της διαίρεσης. Αυτό το είδος δεν είναι λιγότερο επικίνδυνο για τους ανθρώπους και τα ζώα από τα δύο προηγούμενα.
Sarcodaceae
Αυτό περιλαμβάνει αμοιβαδική δυσεντερία. Είναι τα πιο πρωτόγονα από όλα τα είδη και τις κατηγορίες. Υπάρχουν περίπου 10.000 διαφορετικά είδη! Δεν έχουν σταθερό σχήμα σώματος. Είναι παρασιτικά σε ανθρώπους και ζώα.

Τις περισσότερες φορές επιλέγουν το πεπτικό σύστημα για τις δραστηριότητές τους. Αυτό μπορεί να οδηγήσει σε πολύ σοβαρή δηλητηρίαση στον άνθρωπο. Σε ορισμένες περιπτώσεις, συχνά συμβαίνουν θάνατοι.
Αυτοί οι τύποι χαρακτηρίζονται από υψηλή αντοχή σε διάφορες «δοκιμές». Άλλωστε, ένας μολυσμένος άνθρωπος προσπαθεί συνεχώς να καταπολεμήσει τα παράσιτα, αλλά δεν τα καταφέρνει πάντα γιατί μπορεί να αντισταθεί σε όλα τα μέτρα.
Γιατί είναι επικίνδυνα, τι ασθένειες προκαλούν;
Τα πρωτόζωα παράσιτα είναι πράγματι πολύ επικίνδυνα για την ανθρώπινη υγεία. Μπορούν να προκαλέσουν διάφορες ασθένειες που έχουν ορισμένες συνέπειες. Σε καμία περίπτωση δεν πρέπει να υποτιμάτε τα πρωτόζωα παράσιτα, γιατί μπορούν να προκαλέσουν σημαντική βλάβη σε ένα άτομο.
Ασθένειες που προκαλούνται από πρωτόζωα παράσιτα:
Ελονοσία
Αυτή η ασθένεια χαρακτηρίζεται από ορισμένες αλλαγές. Μερικές φορές εμφανίζεται ανακούφιση, τότε η ανακούφιση αντικαθίσταται από επιδείνωση των συμπτωμάτων. Τα κύρια συμπτώματα είναι πονοκέφαλος, πυρετός, ναυτία, έμετος και κράμπες.

Η χιτίνη θεωρείται η καλύτερη θεραπεία εδώ και πολλά χρόνια. Ωστόσο, οι θάνατοι από αυτή την ασθένεια συμβαίνουν συχνότερα σε μέρη όπου η ιατρική ανάπτυξη είναι σε χαμηλό επίπεδο.
Αμεβίαση
Μια άλλη όχι λιγότερο επικίνδυνη ασθένεια, οι συνέπειες της οποίας μπορεί επίσης να είναι θλιβερές. Ο αιτιολογικός παράγοντας είναι η αμοιβαδική δυσεντερία.
Τα συμπτώματα εμφανίζονται 7-10 ημέρες μετά τη μόλυνση. Αυτά περιλαμβάνουν πονοκεφάλους, γενική κακουχία, πυρετό και, σε μερικούς ανθρώπους, στομαχικές διαταραχές. Ακολουθούν επιπλοκές, οι οποίες εκδηλώνονται σε ηπατικά προβλήματα. Εάν ο ασθενής δεν ξεκινήσει έγκαιρα τη θεραπεία και δεν συμβουλευτεί έναν ειδικό, οι συνέπειες είναι μη αναστρέψιμες.
Τοξοπλάσμωση
Ο αιτιολογικός παράγοντας της νόσου είναι το Toxoplasma gondii. Τα συμπτώματα αυτής της ασθένειας περιλαμβάνουν βλάβη στα μάτια, πάσχει το νευρικό σύστημα, καθώς και το καρδιαγγειακό σύστημα. Πολύ συχνά η μόλυνση αρχικά περνά απαρατήρητη και τρέχει σαν κρυολόγημα.

Η μόλυνση κατά τη διάρκεια της εγκυμοσύνης είναι πολύ επικίνδυνη. Ακόμα κι αν το παιδί επιβιώσει, πιθανότατα θα εμφανιστούν επιπλοκές και βλάβες στα μάτια ή στο νευρικό σύστημα. Επομένως, είναι απαραίτητο να συμβουλευτείτε έναν γιατρό με τα πρώτα συμπτώματα.
Βαλαντιδίαση
Προκαλείται από έναν μικροοργανισμό όπως το Balantidia. Τα συμπτώματα αυτής της ασθένειας περιλαμβάνουν κοιλιακό άλγος και δυσπεψία. Σε ορισμένες περιπτώσεις, είναι επίσης δυνατός υψηλός πυρετός και μέθη του σώματος.
Λεϊσμανίαση
Η λεϊσμανία θεωρείται ο αιτιολογικός παράγοντας αυτής της ασθένειας. Τα έλκη εμφανίζονται σε δερματικές και βλεννογονοδερματικές εκδηλώσεις. Οι βλεννογονοδερματικές εκδηλώσεις μπορεί συχνά να προκαλέσουν οίδημα. Δεδομένου ότι αυτές οι ασθένειες σχετίζονται με την αναπνευστική οδό, μπορεί να προκληθούν θάνατοι.
Η λεϊσμανίαση εμφανίζεται κυρίως σε θερμές χώρες. Αυτή η ασθένεια είναι αρκετά συχνή και εμφανίζεται σε 87 χώρες.
Όπως μπορείτε να δείτε, παρά την απλή δομή των μικροοργανισμών, τα πρωτόζωα παράσιτα είναι εξαιρετικά επικίνδυνα για την ανθρώπινη υγεία. Μπορούν να προκαλέσουν ανεπανόρθωτη βλάβη στον ανθρώπινο οργανισμό και να οδηγήσουν σε ορισμένες συνέπειες και επιπλοκές.
Πώς μεταδίδονται;
Υπάρχουν 4 πιο κοινές μέθοδοι μόλυνσης:
- Επικοινωνία - Οικιακό. Αυτό το είδος εμφανίζεται λόγω παραβιάσεων των υγειονομικών μέτρων ή των κανόνων υγιεινής. Η μόλυνση μπορεί να συμβεί μέσω διαφόρων ενεργειών: μέσω της χρήσης ξένων αντικειμένων, ιδιαίτερα προϊόντων προσωπικής φροντίδας, πιάτων και παρόμοια. Επομένως, είναι πολύ σημαντικό να τηρείτε τους κανόνες προσωπικής υγιεινής, να έχετε τα δικά σας προϊόντα προσωπικής περιποίησης και σε καμία περίπτωση να μην χρησιμοποιείτε κάποιου άλλου.
- Περιττώματα – στοματικά. Αυτός ο τύπος εμφανίζεται μέσω επαφής με κόπρανα ή εμετού. Το μονοκύτταρο παράσιτο εισέρχεται πρώτα στα χέρια ή στην τροφή του «νέου ξενιστή» και μετά στο σώμα του.
- Από φαγητό. Αυτός ο τύπος προκύπτει από την κατανάλωση μολυσμένων τροφίμων. Αυτά μπορεί να περιλαμβάνουν κακομαγειρεμένα ψάρια ή κρέας, άπλυτα λαχανικά και φρούτα και γαλακτοκομικά προϊόντα.
- Μεταδοτικό. Αυτός ο τύπος εμφανίζεται μέσω της μετάδοσης από ένα μολυσμένο αντικείμενο κατά τη διάρκεια ενός δαγκώματος, δηλαδή μέσω του σάλιου.
Πώς να απαλλαγείτε από αυτά
Μετά την ανάγνωση του άρθρου, σίγουρα προκύπτει αυτό το ερώτημα. Οι λοιμώξεις από πρωτόζωα παράσιτα είναι πολύ συχνές, επομένως το θέμα της εξάλειψής τους είναι εξαιρετικά σημαντικό.
Όπως αναφέρθηκε παραπάνω, θα πρέπει να επισκεφτείτε έναν γιατρό με τα πρώτα συμπτώματα μιας λοίμωξης. Ο ειδικός μπορεί να παραγγείλει ορισμένες εξετάσεις και εξετάσεις. Αφού τα περάσει, ο γιατρός θα κάνει ακριβή διάγνωση. Μετά από αυτό, πρέπει να ξεκινήσετε επειγόντως τη θεραπεία. Δεν συνιστάται επίσης η αυτοθεραπεία, καθώς ένας επαγγελματίας μπορεί να βοηθήσει στη σωστή διάγνωση και να συνταγογραφήσει την κατάλληλη θεραπεία. Στις περισσότερες περιπτώσεις, οι γιατροί καταφεύγουν σε θεραπεία με διάφορα φάρμακα που βοηθούν στην εξάλειψη των παρασίτων και επιταχύνουν την ανάρρωση ενός ατόμου.
Σήμερα υπάρχουν πολλά διαφορετικά καλά φάρμακα που βοηθούν στις λοιμώξεις που προκαλούνται από πρωτόζωα παράσιτα. Υπάρχει μεγάλη ποικιλία φαρμάκων στην αγορά, γεγονός που καθιστά δυνατή την εύρεση του κατάλληλου φαρμάκου για έναν συγκεκριμένο ασθενή.
Προληπτικά μέτρα
Για να αποφύγετε τα παραπάνω προβλήματα, είναι απαραίτητο να τηρείτε ορισμένους κανόνες και να λαμβάνετε προληπτικά μέτρα.
Οι πιο αποτελεσματικοί κανόνες είναι αυτοί που μαθαίνουν τα παιδιά στο σχολείο. Πρώτα από όλα, δεν πρέπει να ξεχνάμε να πλένουμε καλά τα φρούτα και τα λαχανικά. Μπορείτε επίσης να το βράσετε ή να κόψετε τη φλούδα.
Στη συνέχεια, δεν πρέπει να τρώτε ωμό ψάρι ή κρέας που δεν έχει ψηθεί καλά. Είναι απαραίτητο να προετοιμάσετε πλήρως το πιάτο και να τηρήσετε τις συνθήκες θερμοκρασίας και χρόνου για να ψηθεί πλήρως το προϊόν. Η περιστασιακή σεξουαλική επαφή πρέπει να αποφεύγεται. Επιπλέον, είναι απαραίτητο να υποβάλλονται σε τακτικές ιατρικές εξετάσεις.














